Total Ankle Replacement Surgery Performed in Arlington, VA

Is chronic ankle pain interfering with your active lifestyle? Do you have a history of ankle injuries, such as sprains and fractures? Have you tried a conservative treatment program—such as a combination of bracing, activity modifications, nonsteroidal anti-inflammatory drugs (NSAIDs), physical therapy and/or injections—without success? If you answered yes to these questions, you may be a candidate for total ankle replacement surgery.
Total ankle replacement surgery can effectively relieve ankle pain by addressing the bone-on-bone contact that often results from arthritis. In a healthy joint, the ends of the bones are coated with protective rubbery cartilage, which has no nerve endings. As the bones move, cartilage rubs against cartilage, and there is no pain. But arthritis causes cartilage to gradually break down and wear away, leaving the bone surfaces unprotected and allowing them to grind painfully against each other during movement. This can cause severe ankle pain and swelling because, unlike cartilage, bone is replete with sensitive nerve endings.
What Does Total Ankle Replacement Surgery Involve?
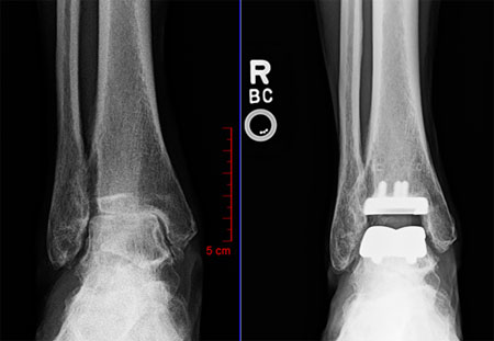
During total ankle replacement surgery, a surgeon removes some bony tissue from the end of the lower leg bone (tibia) and the top of the upper foot bone (talus). The surgeon then tamps metal implants into position. The implants are separated by a plastic spacer (see before and after images below).
In recent years, total ankle replacement surgery has improved dramatically. The latest techniques include:
- 3-D printed porous coatings to enable the bone to grow into the implants
- 3-D printed cutting guides to ensure precise implant placement
- Vitamin-E infused plastic inserts to lubricate the joint surfaces and enhance their longevity
- Patient-specific CT-based implant sizing to ensure an ideal fit
Dr. Matthew Buchanan is a board-certified, fellowship-trained orthopedic foot and ankle surgeon who practices at Nirschl Orthopaedic Center in Arlington, Virginia. He has been performing total ankle replacement surgery since 2003, and it is one of his favorite procedures to perform due to the tremendous pain relief it can provide his patients. In addition to cutting-edge surgical techniques, Dr. Buchanan employs advanced rehabilitation methods, such as immediate weight bearing and early motion. He often performs total ankle replacement as an outpatient procedure, and he works closely with the anesthesia team to minimize post-operative discomfort.
Call Nirschl Orthopaedic Center at 703-525-2200 today to schedule an appointment with Dr. Buchanan in Arlington, VA, where you can find out if you are a good candidate for total ankle replacement surgery.
Patient Testimonial
After years of dealing with ankle arthritis due to former trauma in an accident in Afghanistan in 2005 I sought out Dr. Buchanan. In July 2020, I underwent a Total Ankle Replacement surgery and have healed near miraculously. Dr. Buchanan, Nirschl Orthopaedic, Virginia Hospital Center, and the manufacturer of my implants ‘Wright, Inbone II’, have allow my life to again reach a level of my former self I didn’t think possible. Feel free to contact me if I can help. No one needs to endure constant, chronic, pain – life’s too short.
– Drew Barnett
FBI Special Agent
Over the years, my podiatrist had tried cortisone shots, debridement surgery, and other approaches to alleviate the ankle pain that limited my exercise and altered my gait, none of which never worked past a few weeks.
I kept searching the internet for answers and began researching ankle replacement technology. I discovered that Dr. Matthew Buchanan of Nirschl Orthopaedics was the only orthopaedist in the area (or anywhere really) who had knowledge of, and experience with, ankle replacements. I had several pre-surgery appointments during which the procedure was fully explained, and my ankle was mapped out by an imaging machine.
Dr. Buchanan fully explained what I could expect from the surgery and in the recovery process.
Dr. Matthew Buchanan replaced my right ankle in early 2020. Because the surgery replaced only the parts of my ankle (see picture of X-ray) that were rubbing each other, soft tissue was minimally affected and thus pain free. I was back at work in a walking boot, aided by a knee scooter, in three weeks. The swelling was very minimal if any. Dr. Buchanan monitored my progress every week. The walking boot came off five weeks after surgery, and the longest-lasting adjustment for me was to consciously resume a normal gait because even with no pain, I basically had to retrain my right leg to take a full stride and my left leg not to compensate. I never imagined that I would be walking normally, and eventually, working out, with no pain.
The absence of pain and subsequent x-rays showed the success of the procedure. Anyone who has struggled with ankle pain restricting their movement/participation in sports should talk to Dr. Buchanan to see if your ankle, and your life, can also benefit from this surgery.
– Cathy Jo Burdette
Trial Attorney
Commerce Litigation, US Department of Justice
In 2013 I was suffering from excruciating pain in my left foot and ankle. I learned about Dr. Matt Buchanan from mutual medical friends who spoke about him in glowing terms. After a thorough examination, he determined that I needed a left Total Ankle Replacement. That was a pretty scary thing for me to consider at the time, but I could not walk and was determined to get well. Dr. Buchanan performed a left Total Ankle Replacement in September of 2013. After the surgery and rehabilitation, I have been pain free and fully functional for these past seven years. Recently I have found myself having some problems with my right (other) ankle. I was pleased to learn that Dr. Buchanan had returned to Northern Virginia, as I knew that he had moved to another state. He is currently treating me for this new problem. In all of the interactions with Dr. Buchanan that I have had I can only say that he is an incredible physician. His analytical and technical abilities are just outstanding. Further, I find him easy to deal with on a personal level, and he has my complete confidence. I will always be grateful to Dr. Buchanan for giving me back the ability to walk these past seven years with no pain. I highly recommend him to anyone who is suffering from foot and ankle issues because to me he is the best!
– Robert M. Blitzer FBI (Ret)
Dr. Buchanan performed ankle replacement surgery on my left ankle. We were from out of town as nobody in Bowling Green, KY did this type of surgery. Every aspect from initial contact to post op care has been superb. Everything has progressed better than I expected. Couldn’t be happier.
– J. Villarreal, MD